













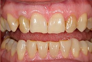
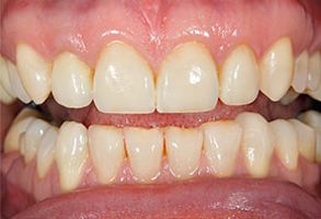
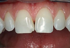
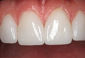
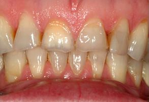
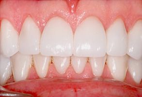
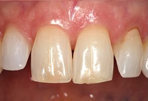
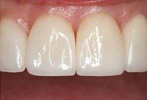
Dr. Joseph S. Grimaud is a third generation St. Louis dentist with more than 30 years of experience. Dr. Grimaud's family has been providing dental care to patients of all ages since 1912. Dr. Grimaud currently works alongside three sisters and three nieces.
Phone